主页 > 关于星源 > 星源动态 >
星源美天口腔科胡谦主任10.23/30坐诊
2016-10-22 16:05 浏览次数: 次
“爱美之心,人皆有之”。
自古以来,人们对于美丽的追求就未曾停止。
秋天,正是爱美之人尽情展现自己的时候,
没有一口与曼妙身材相配的牙齿怎么行?
↓↓↓
星源美天 口腔美容科专家
胡谦主任
每周日坐诊:10月23日、30日

如果没有上百例的牙齿矫治实例,我就不会做隐形矫正;如果没有上百例的隐形矫治实例,我就不会做复杂隐形矫治。——胡谦主任

胡谦主任与北大口腔医院修复种植孙凤教授

胡谦主任与北大口腔医院正畸科许天民教授
2008年,胡谦主任毕业于石家庄白求恩医学院口腔专业,从事口腔事业至今。曾在石家庄市第二医院口腔科进修两年,进修结束就加入三博口腔团队至今。三博口腔入驻星源美天,星源美天依托三博口腔成立美容牙科中心。而胡谦主任既是三博口腔星源门诊的主任,也是星源美天美容牙科主任,可见其实力!
他是庄里热爱踢足球的口腔全能医生
对口腔的专注和热爱比肩他对足球的热爱,满满都是热血男儿的正能量,笑起来有一口洁白的牙齿,是求美者心中暖暖的医生。他曾参与"微笑列车"唇腭裂志愿活动,帮助更多的唇腭裂患儿笑对生活。

他被三博口腔的医护人员誉为全能的口腔医生,不管是拔复杂的埋伏牙/智齿、复杂的隐形矫治,还是修复类矫治,胡主任都会凭借专业的医学技能和丰富的临床经验,得以完美的解决。
小小拔牙 并不简单
在大家认为拔牙不就是一把钳子,一用力的事儿,胡主任却介绍说复杂的拔牙求美者,有时却需要花费4/5个小时,颠覆了我对拔牙的认知。

每一次拔牙都需要拍片子 看牙齿的位置深度

横向生长的智齿 一般的牙医都不拔
埋伏牙、横向生长的智齿...,好多牙医都不敢拔的牙齿,对于胡主任来说,这都不算什么,20分钟就能搞定!
给牙齿美容 也要建立在健康的基础上
他痛恨那些不负责任只为挣钱的医生,近年来胡主任接到好多修复类的患者,牙龈边缘红肿、发炎、疼痛,仔细检查发现在做冠时,技术不到家,毛躁的边缘会聚集很多垢污,导致牙龈发炎、红肿、溢浓。而这些都是医生技术不到位,&基础的前期治疗都没有导致的。

口腔虽小,却是身体健康的肯本,牙口好,不只是好看,更是牙齿健康,才能吃嘛嘛香身体倍儿棒!
而正畸更是考量医生技术的口腔手术,从牙齿前突矫正到骨性前突矫正,胡谦主任不断学习不断攻克一个又一个难关。

胡谦主任牙齿前突矫正前后对比
从牙齿美白、贴面、修复到正畸、隐适美隐形矫正...,胡谦主任带给顾客的不仅是一口漂亮的牙齿,更是对内心自信的提升。

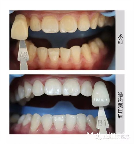
皓齿美白前后对比

(6颗前牙)3D超薄贴面 前后对比



他是隐适美隐形矫正全球认证医生
是您口腔的健康专家
胡谦主任
10月23日/30日坐诊
呵护口腔健康 绽放迷人微笑
美丽热线:400-0311-038





