主页 > 关于星源 > 星源动态 >
由一次失败的相亲引发的去眼袋手术
2015-09-13 10:52 浏览次数: 次
在我看来,注重外形,注重美貌那是女人的事情,作为一个大男人,我只需要在自己的事业弄好就可以了,从来没有想过自己有一天也会去做整形手术。这个还得从那次相亲开始说起。因为平时忙于工作,很少有时间闲下来考虑自己的个人问题,家里一而再再而三的催促,我突然意识到,是该成家了。
我顺从父母的意识去相亲,去那天还特意精心打扮了一番,本以为是我挑人家姑娘,没想到是我看上了人家女孩,而女孩好像对我的形象有些不满意,面露不安,说有事要先走,我大概知道是什么意思了,便也没有再挽留。回到家,这么久以来唯一一次的强烈的挫败感。以前从来都觉得我事业有成,姑娘是随便挑的,看来是我自我感觉太良好了。这一次的挫败感让我不得不审视自己,我身材还算可以,个子不矮,唯一脸上让我不自信的就是这两个大大的眼袋,因为从小跟随我,所以也没有那么在意,此刻我却觉得它们这么碍眼。小妹看我闷闷不乐的,就知道是我相亲失败了,她在旁边安慰我说,一次失败不算什么,咱们找更好的。我知道她是为了让我心情好一些。我问小妹有没有什么去眼袋的好方法。小妹眼巴巴的看着我说,莫非要去做去眼袋手术?我点点头。小妹说她负责去打听手术情况,让我在家等消息。因为小妹是做化妆品生意的,所以美容整形这些她还略微有些了解,她去弄我也放心。
过了大概一个多星期,小妹拿回来一个名片给我,我一看是一个医生的电话号码。原来是一位整形医生,可以通过手术来去眼袋,小妹给我解释说,手术去眼袋这个方法是一个客人推荐给她,她了解之后觉得不错,就跟人家要了一个名片。小妹说的肯定假不了,我让她赶紧帮我约了手术时间。
去的时候我挺不适应的,进去之后看的好多基本都是女的,我一个大男人过来做手术感觉还是挺怪异的,还好工作人员颇为热情的,帮我办手续什么的,没有人有异样的眼神。手续办妥,护士小姐领着我进了手术室。手术室里没有想象的恐怖,挺干净整齐的,一看就是精心收拾过的。医生给我打了麻药,我都没有敢有什么疑问,总感觉自己问问题的话会有些唐突。躺在手术台上,看着护士和医生都在忙着准备工作。我是第一次做整形手术,躺在手术台上有些局促不安,医生看出来了,就安慰我,说前两天也有一个帅哥过来做手术,人家是模特,做完手术那个人激动的啊,医生在描述当时的情景。我慢慢的就不紧张了,大概过了三十多分钟,手术就结束了,原来竟然这么快,现在的整形技术还真是先进啊。术后我一直好好保养我的眼睛,经过一段时间的恢复,跟了我那么多年的眼袋终于不见了,激动是真的。

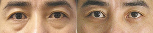
眼部整形:去眼袋前后对比案例
后来我重重的感谢了小妹,家人都说我做了手术变得更帅气了,有一天跟小妹在街头闲逛,碰到了当初我相亲的那个女孩,我一眼就认出她了,叫她的名字,她愣了一会儿才反应过来,看她的表情也是有些惊讶。哈哈





